顯微鏡下的沙門氏菌
顯微鏡下的沙門氏菌|應用百科
夏季是沙門氏菌感染的高發季。沙門氏菌是***類常見的食源性致病菌,常存在于被污染或消毒不當的肉類或奶制品等,可引起感染者食物中毒、腸熱癥甚至敗血癥。如何檢測沙門氏菌,可以使用SS瓊脂平板培養,但是培養周期較長。如果想要快速檢測菌體,可通過生物顯微鏡ML51-N,可觀察沙門氏菌的結構,明確其顯微特征,從而達到檢測的目的。

使用SS瓊脂平板培養,沙門氏菌可呈黑色或半透明小菌落,黑色是傷寒沙門菌,半透明可能是鼠傷寒沙門菌。

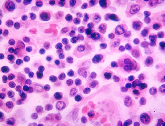
使用生物顯微鏡ML51-N觀察淋巴結病理組織,可見巨噬細胞中的沙門氏菌、紅細胞和淋巴細胞

沙門氏菌為陰性紅色,形態為球桿狀或線狀,成對或短鏈狀排列

使用鞭毛染色法,大部分品種沙門氏菌可見鞭毛,無莢膜

生物顯微鏡ML51-N采用無窮遠消色差獨立校正光學系統,可清晰觀察菌體的結構,保證采集菌體圖像的清晰度和色彩還原性,為數字成像提供高質量和高性能的成像效果。

為了快速提高沙門氏菌檢測率,可以使用熒光染色,利用沙氏門菌的高特異性熒光反應,在熒光顯微鏡下快速辨別。
(文章來源于儀器網)
